【基本信息】:患者,女,22岁

【主诉】:腹痛、腹胀4天

【现病史】:入院前四天,患者无明显诱因出现腹痛、腹胀,腹痛位于剑突下及双侧腹部,呈阵发性刺痛,伴搏动感,每次持续数分钟可自行缓解,伴背心痛,吸气时加重,与进食无明显关系,伴尿量减少。

【月经史】:平素月经量中等,颜色正常、暗红,月经周期易推迟。

【辅助检查】:

肿瘤标志物:甲胎蛋白AFP:124.14ng/ml↑;糖类肿瘤CA125:30.75U/ml↑;癌胚抗原、糖类肿瘤CA199、总人绒毛膜促性腺激素、糖类肿瘤CA153均正常。

彩超检查:下腹腔探及范围约囊实性团块,呈蜂窝状改变,边界不清,CDFI:实性部分可见较丰富血流信号。子宫未见明显异常。双侧卵巢显示不清。

【影像表现】:

平扫

卵巢畸胎瘤中等大小是多大_卵巢里的畸胎瘤可以自己消失吗_卵巢畸胎瘤100个人中有几个

卵巢畸胎瘤中等大小是多大_卵巢畸胎瘤100个人中有几个_卵巢里的畸胎瘤可以自己消失吗

卵巢畸胎瘤100个人中有几个_卵巢畸胎瘤中等大小是多大_卵巢里的畸胎瘤可以自己消失吗

动脉期

卵巢畸胎瘤100个人中有几个_卵巢畸胎瘤中等大小是多大_卵巢里的畸胎瘤可以自己消失吗

卵巢里的畸胎瘤可以自己消失吗_卵巢畸胎瘤中等大小是多大_卵巢畸胎瘤100个人中有几个

卵巢里的畸胎瘤可以自己消失吗_卵巢畸胎瘤中等大小是多大_卵巢畸胎瘤100个人中有几个

静脉期

卵巢里的畸胎瘤可以自己消失吗_卵巢畸胎瘤100个人中有几个_卵巢畸胎瘤中等大小是多大

卵巢畸胎瘤100个人中有几个_卵巢畸胎瘤中等大小是多大_卵巢里的畸胎瘤可以自己消失吗

卵巢畸胎瘤100个人中有几个_卵巢畸胎瘤中等大小是多大_卵巢里的畸胎瘤可以自己消失吗

延迟期

卵巢畸胎瘤100个人中有几个_卵巢畸胎瘤中等大小是多大_卵巢里的畸胎瘤可以自己消失吗

卵巢畸胎瘤中等大小是多大_卵巢里的畸胎瘤可以自己消失吗_卵巢畸胎瘤100个人中有几个

卵巢畸胎瘤中等大小是多大_卵巢畸胎瘤100个人中有几个_卵巢里的畸胎瘤可以自己消失吗

卵巢畸胎瘤100个人中有几个_卵巢畸胎瘤中等大小是多大_卵巢里的畸胎瘤可以自己消失吗

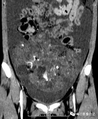
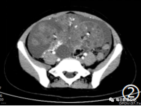
【影像所见】:

平扫腹部囊实性混杂密度肿块,以实性为主呈片絮状,可见散在不规则钙化(红箭示)及脂肪密度(白箭示),可见多个小囊,囊壁厚薄不一;

动脉期肿块实性部分及囊壁呈轻度不均匀强化;

静脉期及延迟期实性部分及囊壁进一步强化,可见包膜(蓝箭示指);

可见其内增粗穿行肿瘤血管(红箭示)及小囊(粗白箭示),另见腹腔大量积液。

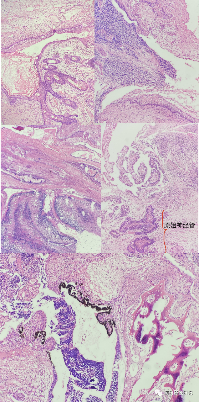
【病理】:

卵巢畸胎瘤100个人中有几个_卵巢里的畸胎瘤可以自己消失吗_卵巢畸胎瘤中等大小是多大

检查所见:输卵管1条,长8cm,最大经0.6cm,伞端可见,冰选:1.其下见结节样组织1个,大小,结节切面灰褐灰红,另见囊泡形成。肿块冰选2-6常规:输卵管7,肿块8-15大网膜:网膜组织一块,大小,其内未扪及确切结节。

检查结论:病理诊断:常规石蜡切片:“右附件”卵巢未成熟性畸胎瘤(分级:高级别)。输卵管未见肿瘤累及。(2#行免疫组化染色)“大网膜”网膜水肿、充血、淤血,未见肿瘤转移。第二次报告:IHC:AFP:(-)、SAll4(神经,+)、CEA(上皮,+)、CK(上皮,+)、EMA(上皮,+)、GFAP(神经,+)、S-100(神经,+)、(+)、P53灶(+)、Ki-16(+,30%),支持上述诊断。

【回顾】:

概述:卵巢未成熟性畸胎瘤是一种较少见的卵巢恶性生殖细胞肿瘤,含2~3个胚层,由分化程度不同的未成熟胚胎组织构成,原始神经组织为主。主要发生于儿童及青年。容易转移,多沿腹膜扩散,转移部位盆腔及腹膜、大网膜、肝、肠系膜及浆膜、直肠窝、对侧卵巢等。

临床表现:无特异性,以腹痛、腹胀、腹部或盆腔包块、膀胱刺激征多见,少见症状包括阴道异常出血、癫痫等,部分患者因肿物破裂、扭转呈急腹症表现,大多单侧发病。

实验室检查:部分患者CA125、CA199及AFP、CEA、NSE中,一项或几项升高,CA125敏感度高,AFP特异度达100%。

【影像学表现】:

CT检查优于MRI,其可以显示钙化。

CT:①囊实性混杂密度肿块,以实性为主多见,囊内可见多个大小不等小囊腔,壁厚薄不一,实性部分呈片絮状,内可见散在不规则、裂隙状、簇状脂肪密度及不规则形、条形、点线状钙化影,增强扫描实性部分及囊壁呈轻度不均匀强化;②呈类圆形或分叶状,体积一般较大,可跨越腹盆腔生长,单侧发生多见;③多数肿瘤包膜完整,部分肿瘤实性成分可凸出包膜致包膜部分不完整,边缘多清晰,少数可不清晰;④多数合并腹水,可出现大网膜转移及邻近器官转移。

MRI:钙化于T1WI、T2WI上均为低信号;脂肪成分于T1WI、T2WI均呈高信号,压脂序列呈低信号;实性部分及囊变呈不同程度的长T1长T2信号。

【鉴别诊断】:

①卵巢成熟性畸胎瘤:又名皮样囊肿,最常见的卵巢生殖细胞肿瘤,可发生于任何年龄,多为单囊或多囊,内含毛发、皮脂样物、骨和软骨等结构,大部分成熟性畸胎瘤以脂肪成分为主。

卵巢畸胎瘤100个人中有几个_卵巢里的畸胎瘤可以自己消失吗_卵巢畸胎瘤中等大小是多大

图示:左侧卵巢成熟性畸胎瘤病灶内以脂肪成分为主,可见局限存在的粗大钙化灶。

②卵巢囊腺癌:上皮源性肿瘤,卵巢最常见恶性肿瘤,好发于40-60岁,钙化及腹膜假性粘液瘤较常见,常伴CA125、CEA升高;呈囊实性,边界不清,间隔和囊壁厚薄不均,可见壁结节,增强后间隔、壁结节及实性成分呈明显强化,常合并腹膜转移及大量腹水。

卵巢畸胎瘤中等大小是多大_卵巢畸胎瘤100个人中有几个_卵巢里的畸胎瘤可以自己消失吗

图示:患者47岁,卵巢浆液性乳头状囊腺癌 CT示左侧附件区囊实性占位,实性成分为主卵巢畸胎瘤100个人中有几个,边界不清,密度不均,黑箭示肿瘤内明显强化实性成分,盆腔内积液(白箭示)。

③卵巢颗粒细胞瘤:性索间质肿瘤,好发于45-55岁,常单发,其可分泌雌激素,多合并子宫增大、子宫内膜增厚,并伴有腹腔、盆腔积液卵巢畸胎瘤100个人中有几个,可表现为囊性、实性及囊实性,实性肿块内多发生囊变坏死,其中较少发生钙化,特征性包括肿瘤内部及边缘“蚯蚓”状迂曲血管影,“蜂窝征”及“海绵征”。

卵巢里的畸胎瘤可以自己消失吗_卵巢畸胎瘤中等大小是多大_卵巢畸胎瘤100个人中有几个

图①示:腹盆腔内巨大囊实性颗粒细胞瘤,MDCT增强扫描动脉期肿块内部及边缘见明显“蚯蚓”状迂曲扩张血管影( 箭头示)

④卵巢卵黄囊瘤:单发囊实性肿块或实性肿块伴坏死区,特征性表现为肿瘤血管丰富、粗细不等、迂曲成团,有包膜但常破裂,常伴腹水,钙化、脂肪少见,血清AFP升高。

卵巢畸胎瘤100个人中有几个_卵巢畸胎瘤中等大小是多大_卵巢里的畸胎瘤可以自己消失吗

女性,7岁,发现腹腔肿物1周入院。图a为CT平扫示下腹部—盆腔巨大肿块,密度不均匀,病灶中央密度偏低。图b~c为 CT增强示肿块显著不均匀强化,病灶内可见多发粗细不等、分布不均匀的肿瘤血管(黑箭示),伴有腹水(白箭示)

发表回复

您的邮箱地址不会被公开。 必填项已用 * 标注